Batterien konsequent ausserhalb der Reichweite von Kindern aufbewahren – Visento
Batterien konsequent ausserhalb der Reichweite von Kindern aufbewahren
Ratgeber
freepik

Batterien konsequent ausserhalb der Reichweite von Kindern aufbewahren

21.06.2023
von BAG · 846 x gelesen

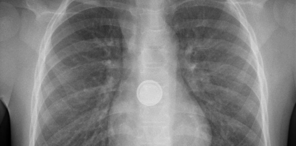
Bei der nationalen Notrufstelle Tox Info Suisse gehen pro Jahr im Schnitt rund 60 Anfragen in Zusammenhang mit Knopfbatterien ein. Rund zwei Drittel davon betreffen Kinder unter sechs Jahren. Verschluckt ein Kind eine solche Batterie, kann das in selten Fällen zu Verätzungen der Speiseröhre führen. Dies geht aus dem Bericht «Massnahmen gegen die Gefährdung der Gesundheit von Kindern durch Knopfbatterien» zur Erfüllung des Postulats 21.3788 hervor. Im Vergleich zu den gesamten Unfällen in der Schweiz, sind Knopfbatterien kein Unfallschwerpunkt. Die Beratungsstelle für Unfallverhütung behandelt das Thema im Rahmen der generellen Prävention von Verschluck-Unfällen regelmässig in ihren Informationen und macht darauf aufmerksam, dass solche Batterien konsequent ausserhalb der Reichweite von Kindern aufbewahrt werden müssen. Zudem gelten für Spielzeuge mit Batterien spezielle Anforderungen zur Sicherung von Batteriefächern.

 

Weil Unfälle mit Knopfbatterien bei Kindern relativ selten sind, kommt der Bericht zum Schluss, dass keine neuen gesetzlichen Regelungen notwendig sind.

Fehler: Kein Artikel-Slug vorhanden!